乳管内乳頭腫とは?検診で指摘されることのある良性疾患【乳腺専門医が解説】みなと横浜ウイメンズクリニック
良性疾患解説
乳管内乳頭腫について
乳管の中にできる良性の腫瘍です。
乳がんとの違いや、基本的な経過について解説します。

良性の腫瘍です。
「腫瘍」という言葉に驚かれるかもしれませんが、これは基本的に良性の病気であり、ただちに命に関わるものではありません。正しい知識を持って向き合うことが大切です。
乳管内乳頭腫とは
乳頭の近くにある乳管の中にできる、良性の腫瘍です。30代後半から50代の女性に多く見られます。
特徴
- 良性の腫瘍であり、がんではありません
- 乳管の中にポリープ状にできます
- 片側の乳房にできることが多いです
乳がんとの関係
- 基本的には別の病気です
- ただし、稀にがんを合併していることがあります
- 定期的な経過観察が推奨されます
主な症状
もっとも特徴的な症状は、乳頭からの分泌物です。しこりは触れないことも多く、下着の汚れで気づくケースが一般的です。
分泌物の特徴
血性
赤色・茶褐色
漿液性
黄色・透明
※ 下着に茶色っぽいシミがつくことで気づくことが多いです。
検査と診断
乳頭腫なのか、それとも乳がんの可能性があるのかを見極めるために、いくつかの検査を組み合わせて行います。
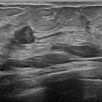
マンモグラフィ・超音波(エコー)
腫瘍の場所や大きさ、乳管の拡張具合を確認します。小さすぎる場合は写らないこともあります。
分泌物細胞診
乳頭から出ている分泌物を採取し、悪い細胞(がん細胞)が含まれていないか顕微鏡で調べます。
針生検(CNBなど)
必要に応じて、局所麻酔をして少し太い針で組織の一部を採り、確定診断を行います。
治療方針
良性疾患であるため、基本的には「経過観察」が第一選択となりますが、状況に応じて手術を検討することもあります。
1
経過観察
がんの疑いがなく、症状が落ち着いている場合は、定期的な検診で様子を見ます。
- 3ヶ月〜1年に1回の受診
- 画像検査での変化を確認
2
手術(摘出)
以下のような場合には、腫瘍のある乳管を取り除く手術(乳管腺葉区域切除術)を行うことがあります。
- 分泌物が多く、生活に支障がある
- 画像上、がんとの区別が難しい
- しこりが大きくなってきた
よくある質問
Q.
放置しても大丈夫ですか?
自己判断での放置は避けてください。基本的には良性の病気ですが、画像検査だけではがんとの区別が難しい場合や、経過の中で変化することもあります。医師の指示通りに「定期検診」を受けることが最も大切です。
Q.
痛みはありますか?
多くの場合、痛みはありません。主な症状は分泌物です。ただし、腫瘍が大きくなって炎症を起こしたり、乳管が詰まって分泌物がたまったりすると、痛みや張りを感じることがあります。
Q.
頻度はどれくらいですか?
全女性の数パーセントと報告されています。
Q.
原因は?
女性ホルモンの変化が原因といわれていますがはっきりとはわかっていません。
Q.
がんになりますか?
論文では診断された方のほとんどはそのまま変化なく過ごされ、数パーセントががんになるという報告があります。
※ このページは一般的な医学情報を提供するものです。個別の診断や治療については主治医にご相談ください。