乳房にしこりを見つけたとき、検査の結果、「良性です」「線維腺腫(せんいせんしゅ)でしょう」と言われる方も多いとおもいます。
しかし、その「良性に見えるしこり」の中に、少しだけ注意が必要な「葉状腫瘍(ようじょうしゅよう)」という病気が隠れていることがあります。
今日は、乳がん検診でも見つかりにくく、診断が難しいこの病気について解説します。
1. 葉状腫瘍ってどんな病気?
葉状腫瘍は、乳房にできるしこり全体の1%にも満たない、とても珍しい病気です。
「葉状(ようじょう)」という名前は、顕微鏡で見ると細胞が植物の「葉っぱ」のような形に増殖していることに由来しています。
最大の特徴は、「良性から悪性まで幅広い性格を持っている」ことです。

2. 「線維腺腫」と間違えられやすい?
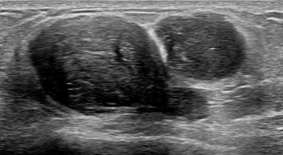
これが葉状腫瘍の厄介な点です。画像検査(マンモグラフィやエコー)や、針を刺して細胞を採る検査(針生検)を行っても、よくある良性のしこり「線維腺腫」と区別がつかないことがあります。
しかし、以下のような特徴がある場合は、葉状腫瘍を疑います。
- しこりが急に大きくなった(数週間〜数ヶ月単位で成長する)。
- 35歳〜55歳くらいの方にできたしこり(線維腺腫より少し年齢層が高めです)。
- エコー検査で、しこりの中に「裂け目」や「水たまり(嚢胞)」のような影が見える。
もし「良性だから様子を見ましょう」と言われていても、「最近急にしこりが大きくなってきた」と感じる場合は、すぐに専門医に相談してください。
3. 治療は「手術」が基本です
葉状腫瘍(またはその疑い)と診断された場合、基本的には手術で切除することをお勧めします。
「良性なら取らなくてもいいのでは?」と思うかもしれませんが、葉状腫瘍には「切ってもまた同じ場所にできてしまう(局所再発)」という性質があるからです。
しかも、再発を繰り返すうちに、おとなしい顔つき(良性)が、悪い顔つき(悪性)に変わってしまうこと(形質転換)があるため、最初の段階でしっかり取りきることがとても大切です。
。
4. まとめ
葉状腫瘍は、多くの場合は良性で、手術で治癒します。
※この記事は一般的な情報提供を目的としています。個別の症状や治療については、必ず主治医にご相談ください。