胸のしこり「乳腺線維腺腫」は良性?放置して大丈夫?がんとの違いと治療法【乳腺専門医が解説】|みなと横浜ウイメンズクリニック
乳腺外来
良性のしこり「線維腺腫(せんいせんしゅ)」について
👩⚕️ 乳腺専門医 解説
安心のための正しい知識を
この記事のポイント
- 線維腺腫は、10〜30代に多い「良性」のしこりです。
- 基本的にはがん化することは稀で、経過観察が中心です。
- ただし、急に大きくなる場合は別の病気の可能性があるため検査が必要です。
1. 線維腺腫(せんいせんしゅ)とは?
聞き慣れない病名にドキッとされたかもしれませんが、これは乳房のしこりの中で最も頻度の高い「良性」のしこりです。
乳腺(おっぱいを作る組織)の一部が、女性ホルモンの影響などで一時的に腫れてしまったものです。「腫瘍」という言葉がつきますが、がん(悪性)ではありません。
👥年齢層
10代後半から30代の女性にとても多く見られます。40代以降になると自然に小さくなったり、消えてしまったりすることもよくあります。
💡原因は?
女性ホルモン(エストロゲン)のバランスが関係していると考えられています。生理前や妊娠中に少し大きくなることがあります。
2. どんな症状がありますか?
最大の特徴は、しこりの「手触り」と「動き」です。
- 1
コロコロよく動く
指で押さえると、乳房の中で逃げるようにツルッと動きます。この可動性の良さが良性の特徴です。 - 2
弾力のある硬さ
「スーパーボール」や「消しゴム」のような感触です。がんのような「石のようなカチカチの硬さ」とは少し違います。 - 3
基本的には痛くない
痛みはないことが多いですが、生理前などで胸が張るときに一緒に痛むことはあります。
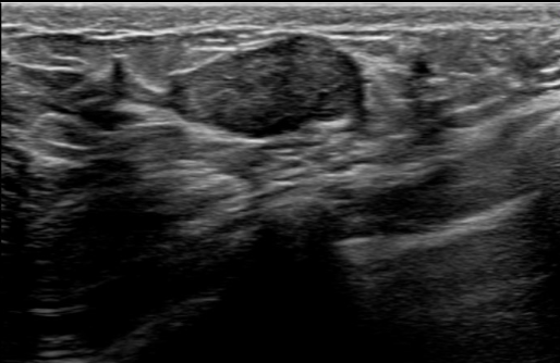
3. 検査と診断
病院では、本当に良性の線維腺腫なのか、それとも他の病気ではないかを慎重に確認します。
| 検査方法 | 特徴 |
|---|---|
| 超音波(エコー) | 痛みも被曝もなく、若い方にも適しています。つるっとした横長の楕円形に映ることが多いです。 |
| マンモグラフィ | 30代後半以上の方などに行われます。しこりの形や石灰化を確認します。 |
| 生検(せいけん) | 画像だけでは判断が難しい場合、針を刺して組織を採取し、確定診断を行います。 |

重要
似ているけれど要注意!「葉状腫瘍」とは?
線維腺腫と非常によく似たしこりに「葉状腫瘍(ようじょうしゅよう)」があります。こちらは大きくなりやすく、稀に悪性のこともあるため注意が必要です。
- 急に大きくなった(半年で2割増しなど)
- 3cmを超えて大きい
上記のような場合は、葉状腫瘍の可能性を疑って詳しく調べたり、手術をお勧めすることがあります。
4. 治療はどうするの?
基本は「経過観察」です
診断が確定し、3cm未満で急な変化がなければ、手術は不要です。
- 半年〜1年に1回程度、エコー検査で大きさを確認
- 多くのしこりは数年で成長が止まり、年齢とともに縮小します
手術を検討する場合
以下のようなケースでは、ご相談の上で治療を検討します。
3〜4cmを超える
急に大きくなる
形がいびつ
不安や痛みが強い
※手術以外にも、傷跡がほとんど残らない「マンモトーム」や「凍結療法」などの選択肢もあります(適応条件あり)。
5. よくある質問 (Q&A)
Q
放置しておくと「がん」になりますか?
A.
線維腺腫そのものががんになることはほとんどありません(0.1〜0.3%未満)。ただし、しこりがあることで新しい変化に気づきにくくなることもあるため、定期的な検診は続けてください。
Q
自分で触ってチェックしてもいいですか?
A.
はい、月に1回程度(生理が終わった頃)にセルフチェックをお勧めします。「いつもより大きくなっていないか」「動きが悪くなっていないか」を確認し、変化があれば受診してください。